先看一张一张图片

你猜她在干啥?
因为知道我要给她拍照,她不好意思的用手掌遮住双眼,害羞的笑了。
她什么情况?得了什么病?
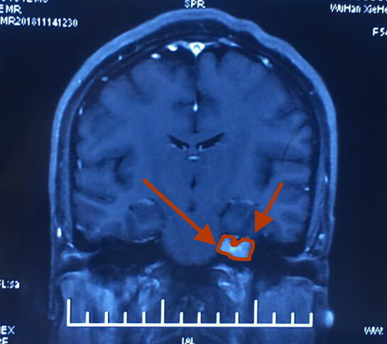
她,45岁,左耳失聪三年。经过核磁共振检查发现左侧桥脑小脑角区占位性病变,考虑听神经瘤。
肿瘤大小1.8cm。
提供两种治疗方案
1. 立体定向伽马刀:优点:安全,风险小,并发症少,费用少;缺点:不能断根,有效率90%;仍然有面神经损伤的可能;如果无效,再次手术面神经损伤的概率大大增加;术后放射性脑水肿可能
2. 显微开颅切除:优点:能断根,彻底治愈;缺点:费用大,创伤大,面神经有可能损伤,麻醉风险,手术风险
患者要求显微手术全切肿瘤。
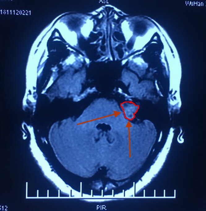
术前影像如下:

术前内听道CT显示左侧内听道口较对侧明显扩大,呈喇叭口状。

采用两端相向汇聚法-显微外科技术切除左侧听神经瘤。
高速磨钻磨开内听道骨性后壁显露面神经内听道端,面神经出脑干端分别显露确认,再瘤内切除减压,两端相向分离肿瘤面神经界面,最后全切肿瘤;术中电生理监测面神经和脑干功能。面神经损伤极小。
术后第一天转出监护室
术后第三天下床行走
术后第五天,高兴拍照。
原来这张用手遮住眼睛的照片是手术后五天照的,不是手术前的照片,你看,她笑得多么自然和开心啊!她的笑容和正常人一样没有什么不同!

后记:术后六个月来神经外科诊室复查,恢复挺好,并执意要到医院党办写信以表示感谢,要求与我合影,以表达感谢!
有疑问?在线咨询专业医生
获得专业医疗建议,无需等待预约
